Image/Video Gallery
 
        
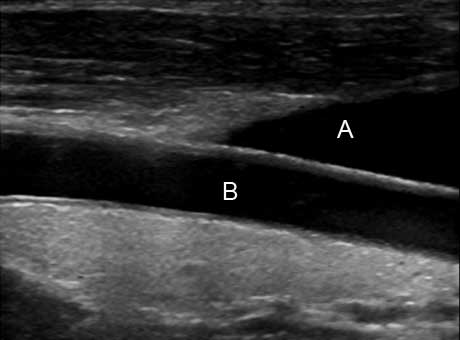
        Image of carotid artery—patient lying down, head to left.  
a. jugular vein  
b. right common carotid artery
Note: Images are shown for illustrative purposes. Do not attempt to draw conclusions or make diagnoses by comparing these images to other medical images, particularly your own. Only qualified physicians should interpret images; the radiologist is the physician expert trained in medical imaging.
 
                
