Galería de Imágenes y Vídeos

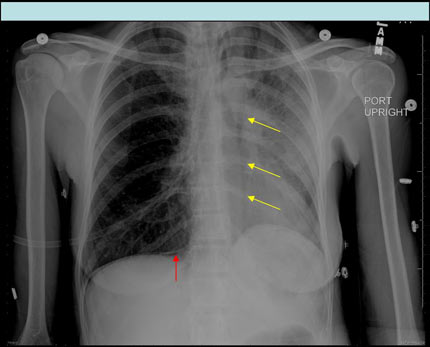
Radiografía frontal vertical del tórax demuestra aire debajo de la hemidiafragma derecha (flecha roja) y aire moviéndose a lo largo del corazón izquierdo y el borde mediastínico hacia el vértice (flechas amarillas) consistente con un neumoperitoneo (rojo) y neumomediastino (amarrillo).
Nota: Las imágenes se muestra para fines ilustrativos. No trate de sacar conclusiones comparando esta imagen con otras en el sitio. Solamente los radiólogos calificados deben interpretar las imágenes.