Galería de Imágenes y Vídeos

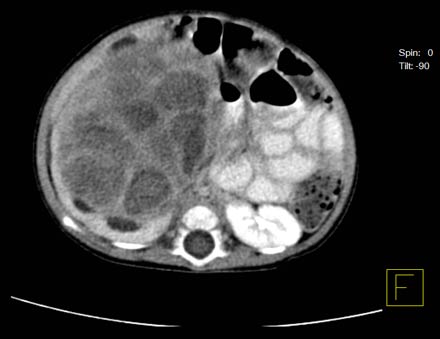
Un examen de exploración por TAC muestra un nefroma multilocular quístico (quiste de riñón) en un paciente pediátrico.
Nota: Las imágenes se muestra para fines ilustrativos. No trate de sacar conclusiones comparando esta imagen con otras en el sitio. Solamente los radiólogos calificados deben interpretar las imágenes.