Galería de Imágenes y Vídeos

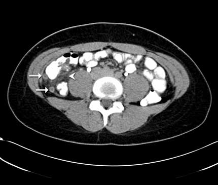
Apendicitis: Una vista transversal de TC a través del abdomen inferior del paciente también corta a través del apéndice hinchado e inflamado en dos sitios (flechas). La inflamación se ha extendido a la grasa intrabdominal cercana (cabeza de flecha). Para más información consulte Apendicitis.
Nota: Las imágenes se muestra para fines ilustrativos. No trate de sacar conclusiones comparando esta imagen con otras en el sitio. Solamente los radiólogos calificados deben interpretar las imágenes.