Galería de Imágenes y Vídeos

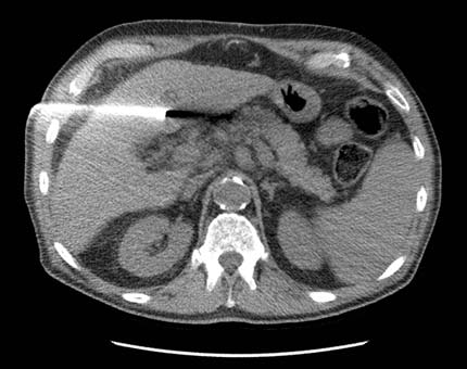
Ablación por radiofrecuencias (RFA) guiada por exploración por TC de un tumor del hígado: Un electrodo múltiple es posicionado en el carcinoma hepatocelular del paciente. Para más información consulte Ablación por radiofrecuencia de tumores hepáticos.
Nota: Las imágenes se muestra para fines ilustrativos. No trate de sacar conclusiones comparando esta imagen con otras en el sitio. Solamente los radiólogos calificados deben interpretar las imágenes.