Galería de Imágenes y Vídeos

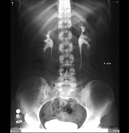
PIV. Se observa contraste en los riñones, uréteres, y en la vejiga.
Nota: Las imágenes se muestra para fines ilustrativos. No trate de sacar conclusiones comparando esta imagen con otras en el sitio. Solamente los radiólogos calificados deben interpretar las imágenes.