Galería de Imágenes y Vídeos

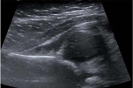
Ultrasonido mostrando cadera dislocada—cabeza de fémur fuera de alineamiento con la cuenca de la cadera.
Nota: Las imágenes se muestra para fines ilustrativos. No trate de sacar conclusiones comparando esta imagen con otras en el sitio. Solamente los radiólogos calificados deben interpretar las imágenes.