Galería de Imágenes y Vídeos
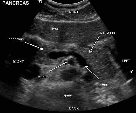
Páncreas normal en un ultrasonido. Vista desde el abdomen hacia la cabeza del paciente. El hígado se encuentra delante del páncreas. Una vena que sale del bazo está detrás del páncreas.
Nota: Las imágenes se muestra para fines ilustrativos. No trate de sacar conclusiones comparando esta imagen con otras en el sitio. Solamente los radiólogos calificados deben interpretar las imágenes.


