Galería de Imágenes y Vídeos
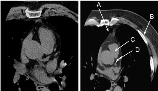
(Izquierda) TC de una arteria coronaria normal.
(Derecha) TC anormal que muestra calcio en la arteria coronaria izquierda.
A: esternón
B: costilla
C: corazón
D: calcio en la arteria coronaria
Nota: Las imágenes se muestra para fines ilustrativos. No trate de sacar conclusiones comparando esta imagen con otras en el sitio. Solamente los radiólogos calificados deben interpretar las imágenes.


