Galería de Imágenes y Vídeos

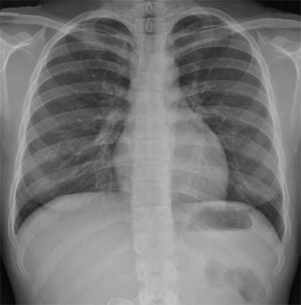
Radiografía posterior/anterior del pecho en una mujer normal.
Nota: Las imágenes se muestra para fines ilustrativos. No trate de sacar conclusiones comparando esta imagen con otras en el sitio. Solamente los radiólogos calificados deben interpretar las imágenes.