Galería de Imágenes y Vídeos

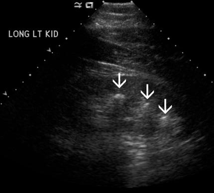
Hay visibles tres piedras nefríticas (flechas) en el riñón derecho. Ninguna de ellas está causando una obstrucción (bloqueo).
Nota: Las imágenes se muestra para fines ilustrativos. No trate de sacar conclusiones comparando esta imagen con otras en el sitio. Solamente los radiólogos calificados deben interpretar las imágenes.