Galería de Imágenes y Vídeos

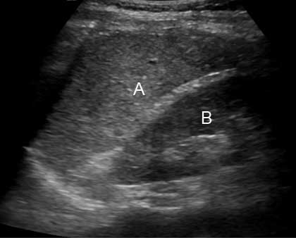
Ultrasonido del bazo y riñón izquierdo— Paciente boca arriba con la cabeza a la izquierda
a. bazo
b. riñón izquierdo
Nota: Las imágenes se muestra para fines ilustrativos. No trate de sacar conclusiones comparando esta imagen con otras en el sitio. Solamente los radiólogos calificados deben interpretar las imágenes.