Galería de Imágenes y Vídeos
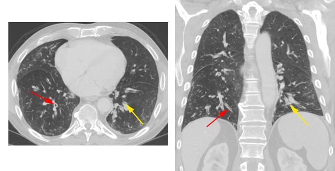
Exploración por tomografía computarizada (TC) en un paciente con bronquitis crónica mostrando engrosamiento de las paredes bronquiales (flechas rojas) y de la mucosa dentro del bronquio (flechas amarillas).
Nota: Las imágenes se muestra para fines ilustrativos. No trate de sacar conclusiones comparando esta imagen con otras en el sitio. Solamente los radiólogos calificados deben interpretar las imágenes.


