Galería de Imágenes y Vídeos
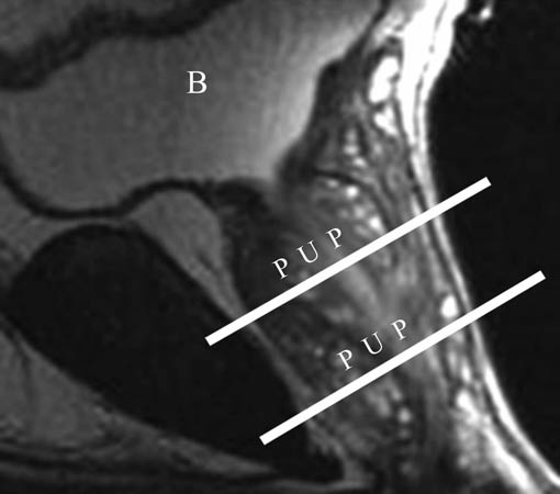
Imagen por RMN a través del centro de la pelvis de un hombre vista desde el costado. La vejiga (B) se ve en la parte superior de la imagen.
P = Prostate
U = Uretra
Nota: Las imágenes se muestra para fines ilustrativos. No trate de sacar conclusiones comparando esta imagen con otras en el sitio. Solamente los radiólogos calificados deben interpretar las imágenes.


