Galería de Imágenes y Vídeos

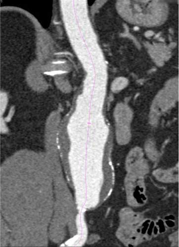
Angiotomografía computarizada mostrando una aorta abdominal agrandada o aneurisma. Para más información consulte Angiotomografía computarizada.
Nota: Las imágenes se muestra para fines ilustrativos. No trate de sacar conclusiones comparando esta imagen con otras en el sitio. Solamente los radiólogos calificados deben interpretar las imágenes.