Galería de Imágenes y Vídeos

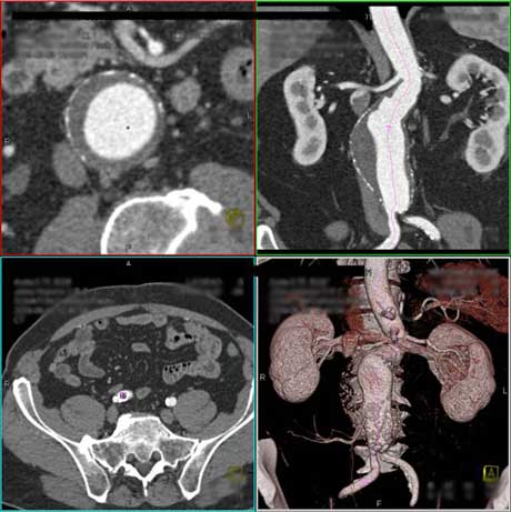
Imágenes 3-D de la aorta abdominal mostrando los vasos más importantes del abdomen.
Nota: Las imágenes se muestra para fines ilustrativos. No trate de sacar conclusiones comparando esta imagen con otras en el sitio. Solamente los radiólogos calificados deben interpretar las imágenes.