¿Cuáles son los beneficios de las exploraciones por TC?
La tomografía computarizada (exploración por TC o TAC) se ubica entre uno de los cinco desarrollos médicos más importantes de los últimos 50 años, de acuerdo a la mayoría de las encuestas médicas. La TC ha probado ser una herramienta de diagnóstico médico tan valiosa que el Premio Nobel de Medicina en 1979 fue otorgado a los inventores.
¿Cómo funciona?
 
Imagen por rayos X de las estructuras internas del cuerpo
Ambos, los rayos X convencionales y la TC, toman fotos de las estructuras internas del cuerpo. En los rayos X convencionales, las estructuras se sobreponen. Por ejemplo, las costillas se sobreponen a los pulmones y al corazón. En una radiografía, las estructuras de importancia médica generalmente se ven obscurecidas por otros órganos o huesos, haciendo difícil el diagnóstico.
 
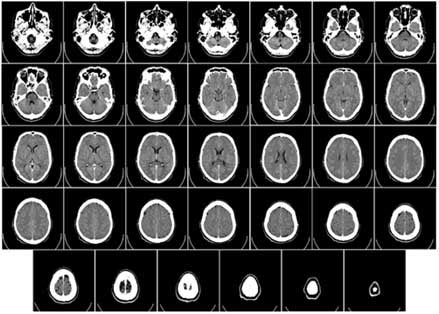
Imagen por TC mostrando estructuras internas del cuerpo
En una imagen por TC, las estructuras sobrepuestas son eliminadas, haciendo que la anatomía interna sea más aparente.
Durante la toma de imágenes por TC, un tubo de rayos X rota alrededor del paciente para que se puedan tomar múltiples imágenes desde varios ángulos. Estas imágenes se archivan en una computadora que las analiza para crear una imagen nueva en la que se han eliminado las estructuras sobrepuestas.
Las imágenes por TC le permiten a los radiólogos y a otros tipos de médicos identificar las estructuras internas y ver su forma, tamaño, densidad y textura. Esta información detallada puede ser utilizada para determinar si existe un problema médico, para evaluar la extensión y ubicación exacta del problema, y para revelar otros detalles importantes que pueden ayudar al médico determinar el mejor tratamiento. Estas imágenes también pueden determinar la ausencia de una anormalidad.

Una exploración por TC que no muestra anormalidades aún proporciona datos útiles. La información ayuda al profesional médico, desviando la atención de los asuntos médicos no necesarios.
Los exploradores modernos de TC adquieren esta información en segundos, a veces en una fracción de segundo, dependiendo del examen.

Beneficios
Los beneficios de la TC permiten cuidados médicos más efectivos:
- determinando cuando son necesarias las cirugías
- reduciendo la necesidad de cirugías exploratorias
- mejorando el diagnóstico y el tratamiento del cáncer
- reduciendo el tiempo de internación
- guiando el tratamiento de condiciones comunes tales como lesiones, enfermedades cardíacas y ataques cerebrales
- mejorando la asignación de los pacientes a las áreas adecuadas de cuidado, tales como las unidades de terapia intensiva
En la sala de emergencias se puede escanear a los pacientes rápidamente de manera tal que los médicos puedan evaluar rápidamente la condición del paciente. Se podría necesitar una cirugía de emergencia para detener el sangrado interno. Las imágenes por TC le muestran al cirujano exactamente en dónde debe operar. Sin esta información, el éxito de la cirugía se encuentra altamente comprometido. El riesgo de exposición a la radiación debido a la TC es muy pequeño comparado con los beneficios de una cirugía bien planeada.
La exploración por TC proporciona información médica diferente a la de otros exámenes por imágenes, tales como el ultrasonido, la RMN, la SPECT, o la medicina nuclear. Cada una de las técnicas por imágenes tiene ventajas y limitaciones.
Las principales ventajas de la TC son sus habilidades para:
- Adquirir imágenes rápidamente.
- Proporcionar información clara y específica.
- Tomar imágenes de una pequeña porción el cuerpo o de todo el cuerpo durante el mismo examen.
Ningún otro procedimiento por imágenes combina estas ventajas en una sola sesión.
Esta página fue repasada en 2024-06-07
 
                
