Image/Video Gallery

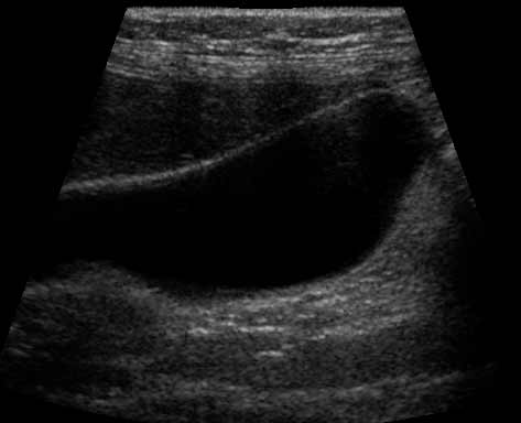
Ultrasound of the gallbladder. The wall or lining of the gallbladder is white, the bile within the gallbladder is mostly made of water and it appears as a clear black space within the walls of the gallbladder.
Note: Images are shown for illustrative purposes. Do not attempt to draw conclusions or make diagnoses by comparing these images to other medical images, particularly your own. Only qualified physicians should interpret images; the radiologist is the physician expert trained in medical imaging.