Image/Video Gallery

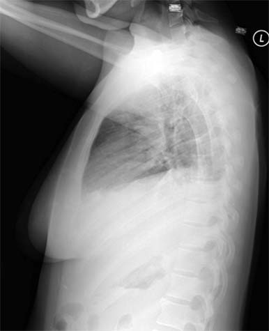
Lateral chest on someone with pneumonia. The pneumonia is the white substance in the lower part of each lung.
Note: Images are shown for illustrative purposes. Do not attempt to draw conclusions or make diagnoses by comparing these images to other medical images, particularly your own. Only qualified physicians should interpret images; the radiologist is the physician expert trained in medical imaging.