Image/Video Gallery
 
        
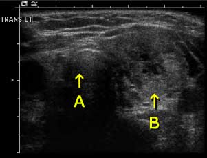
        Sonogram of the left lobe of the thyroid gland in cross section (transverse section) shows a heterogeneous nodule.
 A: Trachea
  B: Left lobe mass
Note: Images are shown for illustrative purposes. Do not attempt to draw conclusions or make diagnoses by comparing these images to other medical images, particularly your own. Only qualified physicians should interpret images; the radiologist is the physician expert trained in medical imaging.
 
                
